Skip to Content
Book Now!
Call Us Today!
678-846-3976
Home
About
Meet Dr. Amara
Why Choose Us
Testimonials
Before & After
Videos
Meet the Team
General Dentistry
Dental Bridges
Dental Cleaning & Exams
Dental Crowns
Dental Fillings
Dental Implant Restoration
Digital Impressions
Full & Partial Dentures
Cosmetic Dentistry
Botox ®
Dental Bonding
Digital Smile Design
ICON Resin Infiltration
Invisalign
Teeth Whitening
Veneers
Sedation Dentistry
IV Sedation
Nitrous Oxide
Surgical
Dental Implants
Emergency Tooth Extraction
Wisdom Teeth Removal
Patient Info
Payment Plans
Insurance
Contact
Close
Search
Home
About
Main Menu
Meet Dr. Amara
Why Choose Us
Testimonials
Before & After
Videos
Meet the Team
General Dentistry
Main Menu
Dental Bridges
Dental Cleaning & Exams
Dental Crowns
Dental Fillings
Dental Implant Restoration
Digital Impressions
Full & Partial Dentures
Cosmetic Dentistry
Main Menu
Botox ®
Dental Bonding
Digital Smile Design
ICON Resin Infiltration
Invisalign
Teeth Whitening
Veneers
Sedation Dentistry
Main Menu
IV Sedation
Nitrous Oxide
Surgical
Main Menu
Dental Implants
Emergency Tooth Extraction
Wisdom Teeth Removal
Patient Info
Main Menu
Payment Plans
Insurance
Contact
Contact Us
Call Us Today!
Follow Us
Top
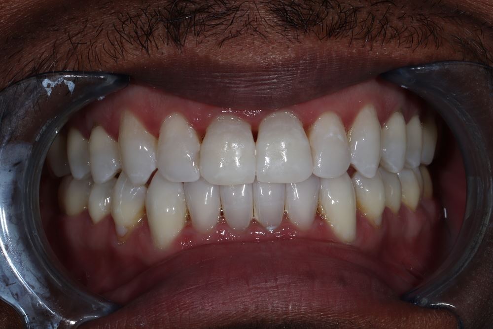
Icon Resin Infiltration – White Spot Removal
Home
Before and After
Icon Resin ...
Recent Work
Before
After
Before
After